CoQ10 vs. Urolithin A: Breaking Down the Science
CoQ10 vs. Urolithin A: Understanding their health benefits, differences, and how they support energy, aging, and mitochondrial health.

What to know
Urolithin A and CoQ10 are both compounds that support mitochondrial health and energy production.
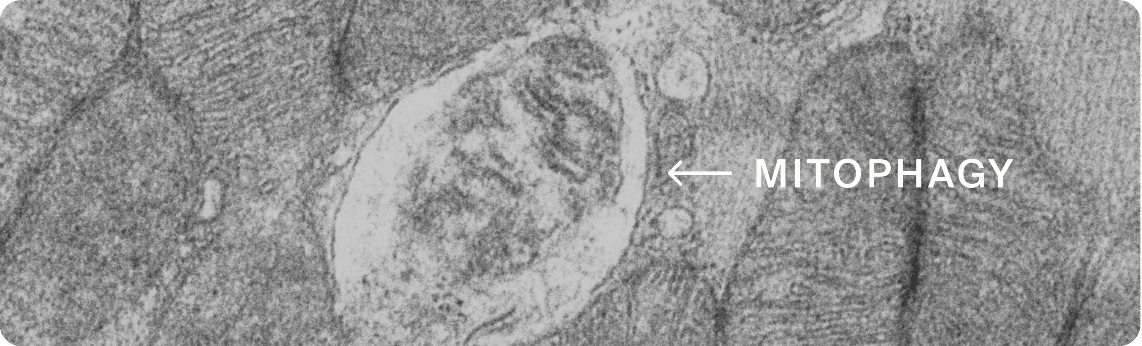
Urolithin A triggers a mitochondrial recycling process called mitophagy, which helps remove damaged mitochondria and produce newer, better-functioning ones.
CoQ10 helps the mitochondria create energy by shuttling electrons.
Well-conducted clinical trials show that Urolithin A improves mitochondrial and muscle health.
Urolithin A vs CoQ10: Which Is Better for Mitochondrial Health?
Medical Disclaimer: This article is for informational purposes only and is not intended to replace the guidance from a medical professional.
Many of us want to live longer, but what’s the point if those extra years aren’t full of strength, energy, and independence?
That’s where mitochondrial health comes in. These tiny powerhouses fuel almost every cell in the body, and keeping them functioning optimally may be one of the most effective ways to extend our healthspan, or the years we live in good health.
Two compounds that are rising to the top in mitochondrial research are Urolithin A and CoQ10. Both are gaining attention for their unique ways of supporting cellular energy and resilience as we age. But, which is the right choice for you?
Let’s take a closer look at these two mitochondrial compounds, how they work, and what the research reveals about their potential to support healthy aging.
What Are Urolithin A and CoQ10?
Urolithin A and CoQ10 both play important roles in supporting mitochondrial health and energy production, but they work through distinctly different mechanisms. They also differ in how readily we can obtain them through diet.
Urolithin A
Urolithin A triggers a process called mitophagy, which renews damaged and dysfunctional mitochondria.[1]
This nutrient isn’t found directly in food. Instead, it’s a postbiotic compound produced in the gut when certain microbes break down the polyphenols found in foods like pomegranates, nuts, and berries.[2]
However, most people don’t have the right gut microbes to produce Urolithin A. Even for the few who can make it, they aren’t consuming enough of its dietary precursors. For this reason, getting Urolithin A through a supplement like Mitopure® is often the most effective option.[3]

CoQ10
CoQ10 is a fat-soluble antioxidant that plays a direct role in mitochondrial energy production.[4] Unlike Urolithin A, CoQ10 is found in foods such as meat, fish, nuts, and certain oils. Additionally, our body can synthesize this nutrient. As we age, our ability to produce CoQ10 declines.[5] It’s also worth noting that the doses of CoQ10 shown to be effective in clinical studies are higher than what most people obtain through diet alone, making supplementation a more practical option for reaching therapeutic levels.

Roles of Urolithin A and CoQ10 in Mitochondrial Health
Although both target the mitochondria, they do so through entirely different mechanisms.
Urolithin A
Urolithin A is unique in its impact on mitochondrial health. It is one of the few molecules clinically proven to trigger a cellular recycling process called mitophagy. By activating this pathway, Urolithin A helps clear out damaged mitochondria and supports the regeneration of new, healthy ones.

Both preclinical and clinical studies have demonstrated that Urolithin A promotes mitophagy, thereby improving mitochondrial health and cellular energy. Human trials have demonstrated that supplementation with Urolithin A enhances mitochondrial efficiency in skeletal muscle, resulting in significant improvements in muscle health.[6]
Additional research in humans has shown that Urolithin A activates mitophagy in other cell types, including skin and immune cells, highlighting its potential to support mitochondrial health system-wide.[7]
CoQ10
CoQ10 is a vital electron carrier in the mitochondrial electron transport chain, a cellular process that produces ATP (cellular energy). It also acts as a potent antioxidant, playing a role in scavenging free radicals and helping to prevent inflammation.

Unlike Urolithin A, CoQ10 does not renew or regenerate mitochondria; instead, it supports their day-to-day function by facilitating energy production. As we age, declining levels of CoQ10 may contribute to reduced mitochondrial efficiency, making supplementation a potential strategy to maintain baseline energy production. CoQ10's dual role in energy metabolism and cellular protection makes it particularly important for tissues with high energy demands, such as the heart, muscles, and brain.

Picture this...
This simplified analogy clarifies how these two molecules work. Think of your mitochondria as energy-producing factories. Like any factory, it is susceptible to wear and tear with time.
Urolithin A is like the maintenance crew that demolishes and rebuilds that outdated factory, ensuring everything runs at peak performance. CoQ10, on the other hand, is the technician on the line, shuttling molecules back and forth, and protecting the machinery from burnout.
Who Should Consider Urolithin A vs CoQ10?
Whether to choose CoQ10 vs. UA depends on various factors. Before determining which one may be ideal, it is useful to consider how they work, your current health conditions, and your goals.
Urolithin A
An argument can be made that stimulating mitophagy is a foundational approach to mitochondrial health. Alongside mitochondrial decline, impaired mitophagy is considered a hallmark of aging and has been linked to several age-related chronic conditions.[8]
Urolithin A is one of the few compounds clinically shown to activate this cellular cleanup process. Its ability to stimulate mitophagy has been demonstrated across different populations and tissue types. Here’s what the clinical research shows:
- 500 mgs of Mitopure (Urolithin A) daily stimulates mitophagy and increases cellular energy[9]
- Daily intake of 500 mgs of Mitopure results in a significant increase in muscle strength in sedentary, overweight, middle-aged adults[10]
- 1000 mgs of Mitopure improves muscle endurance in sedentary older adults[11]
- 1000 mgs of Mitopure improves muscle health in strength-trained young athletes[12]
The clinical benefits go beyond muscle health. Topical application of Mitopure enhances skin health by addressing both biological and environmental factors contributing to aging, specifically mitochondrial decline and photodamage. And, emerging research suggests that taking 1000 mgs of Mitopure may target immune aging.[13]
In short, Urolithin A is a powerful foundational supplement for anyone looking to combat mitochondrial decline, whether you're a healthy individual aiming to age well or an athlete seeking extra support.
CoQ10
CoQ10 may be beneficial for those with conditions in which mitochondrial dysfunction plays a role. Perhaps the most widely recognized use of CoQ10 is as an add-on treatment for people with cardiovascular disease, including high blood pressure, heart failure and ischemic heart disease.[14] However, the evidence is mixed, and many studies have been conducted primarily in older male populations, limiting the generalizability of findings.
Healthcare practitioners may also recommend CoQ10 supplementation when prescribing statins (medications for lowering blood cholesterol).[15] These medications reduce the body's levels of CoQ10, and supplementation is often used to help mitigate associated side effects. While not universally recommended, many healthcare providers consider CoQ10 a low-risk intervention in this context.
Beyond cardiovascular health, CoQ10 is also being explored for its potential in managing conditions linked to impaired energy metabolism, such as migraines and fibromyalgia.[16]

Dosing and Safety
To experience the full benefits of Urolithin A and CoQ10, take them in clinically validated doses and choose products from trusted, research-backed brands. Fortunately, both compounds have strong safety profiles, with minimal side effects reported in clinical studies. Below is a closer look at typical dosing ranges and what the science says about their safety.
Urolithin A
Studies demonstrate that daily doses of 500 to 1,000 mg of Urolithin A per day stimulate mitophagy, leading to significant improvements in muscle health.
Mitopure is the first clinically validated Urolithin A supplement and has been used in multiple double-blind, randomized human trials. Additionally, it has been granted Generally Recognized As Safe (GRAS) status by the FDA and is third-party certified by NFS and The Clean Label Project.
It can be taken with or without food and is well-tolerated, with no serious side effects reported in studies to date.

Mitopure Gummies
4.7 · 494 reviews
A strawberry-flavored dose of cellular energy
CoQ10
Co10 is commonly supplemented in doses of about 100 to 200 mg per day for general wellness and healthy aging, but higher doses have been used for specific health goals.
CoQ10 is available in two forms: ubiquinone and ubiquinol. While ubiquinol is more bioavailable, both forms are fat-soluble and better absorbed when taken with fat-containing foods or in a supplement formulated with a lipid (fat) carrier.
Supplementing with CoQ10 is generally considered safe, with few known side effects. However, it can interact with some medications, so it’s best to consult with a healthcare provider before using.
Final Words
Urolithin A and CoQ10 both support mitochondrial health but serve different roles. Urolithin A rejuvenates your mitochondria through cellular renewal, while CoQ10 helps fuel the energy-making process and protect cells from damage.
For those focused on long-term vitality and resilience, Urolithin A provides comprehensive, system-wide support, backed by strong clinical evidence. CoQ10 may be a helpful adjunct for certain conditions, particularly those related to cardiovascular health.
Authors

Written by
Professor of Nutrition & Scientific Writer

Reviewed by
Senior Manager of Nutrition Affairs
References
- ↑
Singh, A., D’Amico, D., Andreux, P.A. et al. Direct supplementation with Urolithin A overcomes limitations of dietary exposure and gut microbiome variability in healthy adults to achieve consistent levels across the population. Eur J Clin Nutr 76, 297–308 (2022). https://doi.org/10.1038/s41430-021-00950-1 (https://www.google.com/url?q=https://doi.org/10.1038/s41430-021-00950-1&sa=D&source=docs&ust=1751491395024151&usg=AOvVaw1mkz6iCmHzuSNUuGztPt45)
- ↑
Espín JC, Larrosa M, García-Conesa MT, Tomás-Barberán F. Biological significance of urolithins, the gut microbial ellagic acid‐derived metabolites: the evidence so far. Evidence‐Based Complementary and Alternative Medicine. 2013;2013(1):270418.
- ↑
Singh, A., D’Amico, D., Andreux, P.A. et al. Direct supplementation with Urolithin A overcomes limitations of dietary exposure and gut microbiome variability in healthy adults to achieve consistent levels across the population. Eur J Clin Nutr 76, 297–308 (2022). https://doi.org/10.1038/s41430-021-00950-1 (https://www.google.com/url?q=https://doi.org/10.1038/s41430-021-00950-1&sa=D&source=docs&ust=1751491395014560&usg=AOvVaw3hD7SyTnBKEXCwFM2bUCdz)
- ↑
Wang Y, Lilienfeldt N, Hekimi S. Understanding coenzyme Q. Physiol Rev. 2024 Oct 1;104(4):1533-1610. doi: 10.1152/physrev.00040.2023. Epub 2024 May 9. PMID: 38722242; PMCID: PMC11495197.
- ↑
Barcelos, I., & Haas, R. (2019). CoQ10 and Aging. Biology, 8. https://doi.org/10.3390/biology8020028 (https://www.google.com/url?q=https://doi.org/10.3390/biology8020028&sa=D&source=docs&ust=1751491395026156&usg=AOvVaw00YsNPHvrU5SclYsTcjLRb).
- ↑
Andreux, P.A., Blanco-Bose, W., Ryu, D. et al. The mitophagy activator urolithin A is safe and induces a molecular signature of improved mitochondrial and cellular health in humans. Nat Metab 1, 595–603 (2019). https://doi.org/10.1038/s42255-019-0073-4 (https://www.google.com/url?q=https://doi.org/10.1038/s42255-019-0073-4&sa=D&source=docs&ust=1751491395025912&usg=AOvVaw2x0jHAIik-mqqkOFJkwjLJ)
- ↑
Topical application of Urolithin A slows intrinsic skin aging and protects from UVB-mediated photodamage: Findings from Randomized Clinical Trials
D D’Amico, AM Fouassier, J Faitg, N Hennighausen, M Brandt, D Konstantopoulos, C Rinsch, A Singh
medRxiv 2023.06.16.23291378; doi: https://doi.org/10.1101/2023.06.16.23291378 (https://www.google.com/url?q=https://doi.org/10.1101/2023.06.16.23291378&sa=D&source=docs&ust=1751491395025204&usg=AOvVaw2ybtBIhwr3OUDevQQGwN0v) - ↑
D'Arcy MS. Mitophagy in health and disease. Molecular mechanisms, regulatory pathways, and therapeutic implications. Apoptosis. 2024 Oct;29(9-10):1415-1428. doi: 10.1007/s10495-024-01977-y. Epub 2024 May 17. PMID: 38758472.
- ↑
Andreux, P.A., Blanco-Bose, W., Ryu, D. et al. The mitophagy activator urolithin A is safe and induces a molecular signature of improved mitochondrial and cellular health in humans. Nat Metab 1, 595–603 (2019). https://doi.org/10.1038/s42255-019-0073-4 (https://www.google.com/url?q=https://doi.org/10.1038/s42255-019-0073-4&sa=D&source=docs&ust=1751491395018271&usg=AOvVaw2fFHifhcwM-7NRlo8Rj_x3)
- ↑
Singh A, D'Amico D, Andreux PA, Fouassier AM, Blanco-Bose W, Evans M, Aebischer P, Auwerx J, Rinsch C. Urolithin A improves muscle strength, exercise performance, and biomarkers of mitochondrial health in a randomized trial in middle-aged adults. Cell Rep Med. 2022 May 17;3(5):100633. doi: 10.1016/j.xcrm.2022.100633. PMID: 35584623; PMCID: PMC9133463.
- ↑
Liu S, D’Amico D, Shankland E, et al. Effect of Urolithin A Supplementation on Muscle Endurance and Mitochondrial Health in Older Adults: A Randomized Clinical Trial. JAMA Netw Open. 2022;5(1):e2144279. doi:10.1001/jamanetworkopen.2021.44279
- ↑
Zhao H, Zhu H, Yun H, Liu J, Song G, Teng J, Zou D, Lu N, Liu C. Assessment of Urolithin A effects on muscle endurance, strength, inflammation, oxidative stress, and protein metabolism in male athletes with resistance training: an 8-week randomized, double-blind, placebo-controlled study. J Int Soc Sports Nutr. 2024 Dec;21(1):2419388. doi: 10.1080/15502783.2024.2419388. Epub 2024 Nov 2. PMID: 39487653; PMCID: PMC11536656.
- ↑
https://www.timeline.com/blog/new-study-mitopure-slows-immune-system-aging-by-re-energizing-t-cells (https://www.google.com/url?q=https://www.timeline.com/blog/new-study-mitopure-slows-immune-system-aging-by-re-energizing-t-cells&sa=D&source=docs&ust=1751491395020132&usg=AOvVaw3UnQDLKY35Ghoygm561hWT)
- ↑
Sue-Ling CB, Abel WM, Sue-Ling K. Coenzyme Q10 as Adjunctive Therapy for Cardiovascular Disease and Hypertension: A Systematic Review. J Nutr. 2022 Jul 6;152(7):1666-1674. doi: 10.1093/jn/nxac079. PMID: 35348726.
- ↑
Ahmad K, Manongi NJ, Rajapandian R, Moti Wala S, Al Edani EM, Samuel EA, Arcia Franchini AP. Effectiveness of Coenzyme Q10 Supplementation in Statin-Induced Myopathy: A Systematic Review. Cureus. 2024 Aug 31;16(8):e68316. doi: 10.7759/cureus.68316. PMID: 39350827; PMCID: PMC11441719.
- ↑
Rosselló Aubach L, Fornós Roca X, Fernández Álvarez ME. Effects of Coenzyme Q10, Tryptophan, and Magnesium Supplementation on Fatigue in Patients with Fibromyalgia - A Randomized Trial. J Diet Suppl. 2025;22(3):433-444. doi: 10.1080/19390211.2025.2483269. Epub 2025 Mar 28. PMID: 40151031.

·
Nutrition·
Studies·
New Preclinical Study: Urolithin A Reverses Anxiety in Rats

·
Nutrition·
Studies·